
오늘은 EBS 명의에 소개된 ‘뇌암’에 대해서 자세히 알아보겠습니다. 뇌암의 원인부터 최신 치료법 그리고 뇌암과 뇌종양 명의 김세혁 교수 예약방법을 알려드립니다.
뇌암 — 원인부터 최신 치료까지
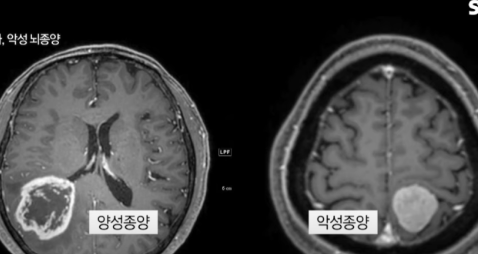
뇌암은 말 그대로 뇌 조직 안에서 비정상 세포가 증식해 종양을 만드는 질환입니다. 크게 두 종류로 나뉩니다.
- 원발성 뇌종양: 뇌나 뇌를 싸는 조직에서 직접 발생한 종양(예: 교모세포종(glioblastoma), 성상세포종(glioma), 수막종(meningioma) 등).
- 전이성(속칭 전이된) 뇌종양(Brain metastases): 몸의 다른 부위(폐·유방·피부(흑색종)·신장·대장 등)에서 발생한 암세포가 혈류나 림프로 뇌에 옮겨와 생긴 종양. 원발부위 암이 더 흔합니다.
뇌암의 원인(왜 생길까?)
정밀하게 말하면 “원인”을 한 가지로 꼽는 경우는 드뭅니다. 다만 알려진 위험요인은 다음과 같습니다.
- 유전적 소인/드문 유전증후군: 신경섬유종증, 리-프라우메니 증후군 등 일부 유전질환에서 뇌종양 발생 위험이 증가합니다.
- 고선량 방사선 노출: 특히 어린 시절 중추신경계에 고선량 방사선치료를 받은 경험은 위험을 높입니다.
- 환경적 요인·생활습관: 일반적으로 뇌종양과 강하게 연관된 흔한 생활요인은 뚜렷히 증명되어 있지 않습니다(휴대전화 전파 등은 현재까지 결정적 증거 없음).
- 분자·유전적 변화: EGFR, IDH1/2 돌연변이 등 특정 유전자 변이와 표적경로가 종양 발생·진행에 관여합니다(특히 교모세포종 등에서 중요).

전이된 뇌암(Brain metastases)은 어떻게 다른가?
전이성 병변은 원발암의 특성을 많이 반영합니다. 대부분의 뇌전이는 폐암·유방암·멜라노마(흑색종)·신장암·대장암 등에서 옵니다. 뇌전이는 보통 여러 개(다발성)로 나타나는 경우가 많고, 증상·치료 전략이 원발암 치료와 연계됩니다
흔한 증상 — “머리가 아픈 것”보다 더 다양합니다
뇌종양의 증상은 종양 위치(전두엽·두정엽·후두엽·소뇌 등)와 크기(뇌압 상승 정도)에 따라 달`라집니다. 자주 보고되는 증상은:
- 지속적이거나 악화되는 두통(새벽·기상 시 심한 경우가 종종 있음).
- 발작(경련, seizure) — 뇌종양 환자에서 흔한 초기 증상 중 하나.
- 국소 신경학적 결손: 한쪽 팔다리의 힘 빠짐(약화), 감각 이상, 언어 장애(실어증), 시야 결손 등.
- 인지·성격 변화: 기억력 저하, 집중력 감소, 성격 변화.
- 구역·구토, 무기력, 어지러움, 균형감 상실 등.
증상이 급격히 악화되거나 발작이 발생하면 즉시 응급평가가 필요합니다.
진단은 어떻게 하나요?
- 신경학적 검사(문진·신체검사)
- 영상검사: MRI(조영증강) — 가장 민감하고 표준적인 검사. 필요시 CT, MR spectroscopy, PET 등 보조 검사를 사용.
- 조직검사(생검): 수술적 절제나 최소 침습 생검으로 얻은 조직에서 병리·분자유전학 검사(IDH, MGMT 메틸화 등)를 해 예후·치료계획을 세웁니다.

최신 치료법(2025년 기준) — 표준치료 + 신기술·임상시험
뇌종양 치료는 수술·방사선·항암의 조합이 기본입니다. 다만 최근 몇 년간 면역치료·세포치료·표적치료·새로운 전달기술 등에서 활발한 연구가 진행 중입니다.
1) 수술(Neurosurgical resection)
- 가능한 경우 최대한 안전하게 종양을 제거하여 증상 완화와 조직확인을 합니다. 수술 후 남은 병변은 방사선·약물로 보완합니다.
2) 방사선치료
- 전통적 방사선과 더불어 정위적 방사선수술(SRS, 감마나이프·사이버나이프 등)이 소형·다발 병변에 효과적입니다. 전이성 뇌종양 치료에서 널리 사용됩니다.
3) 약물치료(화학요법·표적치료)
- 교모세포종 등에서는 템올로로마이드(temozolomide) 등이 표준으로 사용됩니다. 종양의 분자적 표지에 따라 특정 표적치료제가 적용될 수 있습니다.
4) 면역치료·CAR-T 등 첨단 접근
- CAR-T 세포치료는 혈액암에서 성과를 보인 뒤 고형암(특히 뇌종양)에도 활발히 적용 시도 중입니다. 아직은 임상시험 단계에서 효능은 제한적이나, 표적 발굴·투여 경로(혈관·뇌실·국소주입) 최적화 연구가 진행 중입니다.
5) Tumor-Treating Fields(TTFields)
- 전기장 기반의 국소적 치료기기(예: Optune)는 일부 고형 뇌종양에서 표준 치료에 병행하여 생존기간 연장을 보여왔습니다(적응증·임상결과은 질환·환자에 따라 다름).
6) 새 전달기술·비침습적 기법
- 집중초음파(Focused ultrasound), 나노입자·비강(코) 투여 등 혈뇌장벽(BBB) 우회 기술이 약물 전달을 개선하려는 연구로 주목받고 있습니다(전임상·임상 초기 단계). 최근 ‘코로 투여하는 나노의약’ 같은 접근도 보고되고 있습니다.

임상시험과 개인맞춤치료가 중요해요
뇌암, 특히 악성·재발성 종양은 표준치료만으로 한계가 있으므로 유전자·분자검사 결과에 따라 맞춤형 표적치료·면역치료 임상시험 참여를 권하는 경우가 많습니다. 또한 최신 치료의 접근성은 병원·국가별로 다르니 전문 클리닉과 상의해 보세요.
생활·예방 측면에서
- 대부분의 뇌종양은 예방이 명확히 입증된 생활수칙이 적습니다. 다만 방사선 노출을 불필요하게 피하고, 가족력이 있으면 의사와 상담하는 것이 좋습니다. 조기 증상(새로 생긴 지속적 두통, 발작, 국소 신경학적 변화 등)이 있으면 즉시 검진을 받으세요.
뇌암 뇌종양 명의 김세혁 교수

Category: 복지뉴스

